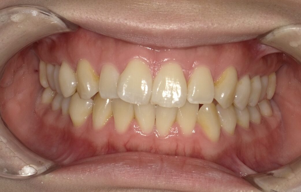
上下のガチャ歯を改善した1症例
治療前 治療後 年齢性別 20代女性 相談内容 上の歯と下の歯が歪 … 続きを読む 上下のガチャ歯を改善した1症例
埋め込むにはこの URL をコピーして WordPress サイトに貼り付けてください
埋め込むにはこのコードをコピーしてサイトに貼り付けてください