上下のガチャ歯を改善した1症例
|
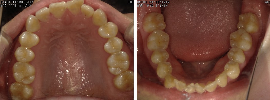
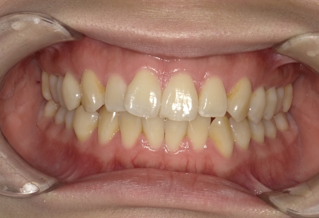
治療前 ![]() |
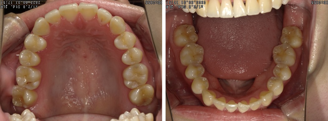
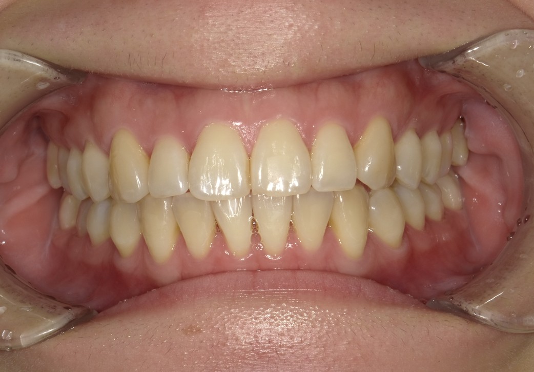
治療後 ![]() |
|
年齢性別 |
20代女性 |
|
相談内容 |
上の歯と下の歯が歪んでいるのが気になる |
|
診断結果 |
骨格 1級
|
|
ご提案内容 |
非抜歯全顎アライナー矯正(クリアコレクト) |
|
術後経過/現在の状態 |
上下叢生の改善、保定後も後戻りなし |
|
治療期間 |
8ヶ月 |
|
治療回数 |
8回 |
|
治療費 |
税込 78万円(検査料・調整料込み) |
|
治療のリスク |
装着時間が不足すると歯が予定通りに動かず、治療が長引くことがあります。 |
|
クリニックより |
アライナー矯正はねじれの力が苦手のため最後はワイヤー矯正にて微修正を行いました。 |
医療法人啓仁会 栃内歯科医院:https://www.tochinai-dental.com/
〒020-0884 岩手県盛岡市神明町10−35
電話:019-625-1588
バスでお越しの方:
盛岡バスセンター より 徒歩3分
お車でお越しの方
医院前に駐車場7台完備
上記駐車場が満車の場合は、提携駐車場をご利用ください。(無料券をお配りしております。)


