叢生を改善した1症例
|
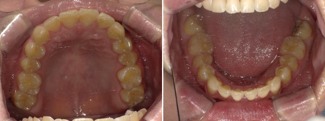
治療前 ![]() |
治療後 ![]() |
|
年齢性別 |
20代 |
|
相談内容 |
前歯がずれているのが気になる |
|
診断結果 |
骨格 軽度Ⅱ級 |
|
ご提案内容 |
全顎アライナー矯正(クリアコレクト)+ ワイヤー矯正 |
|
術後経過/現在の状態 |
予後良好 |
|
治療期間 |
12ヶ月 |
|
治療回数 |
12回 |
|
治療費 |
税込78万円(検査料・調整料込み) |
|
治療のリスク |
装着時間が不足すると歯が予定通りに動かず、治療が長引くことがあります。 |
|
クリニックより |
アライナー矯正で8ヶ月ほど、ワイヤー矯正で4ヶ月ほど治療を行なっています。 |
医療法人啓仁会 栃内歯科医院:https://www.tochinai-dental.com/
〒020-0884 岩手県盛岡市神明町10−35
電話:019-625-1588
バスでお越しの方:
盛岡バスセンター より 徒歩3分
お車でお越しの方
医院前に駐車場7台完備
上記駐車場が満車の場合は、提携駐車場をご利用ください。(無料券をお配りしております。)


