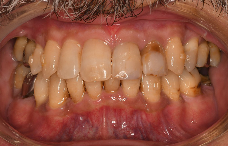
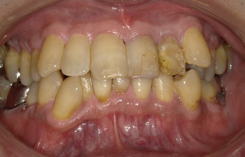
上下のガチャ歯を改善した1症例
|
治療前 ![]() |
治療後 ![]() |
|
年齢性別 |
50代 男性 |
|
相談内容 |
歯の長期予後のために矯正したい |
|
診断結果 |
骨格 軽度Ⅲ級 抜歯必要 |
|
ご提案内容 |
抜歯アライナー矯正 |
|
術後経過/現在の状態 |
当初アライナーでの矯正を行っていましたが、あまりにも動きが悪いためワイヤーに変更し矯正しました。 |
|
治療期間 |
24ヶ月 |
|
治療回数 |
24回 |
|
治療費 |
税込79万円(検査料・調整料込み) |
|
治療のリスク |
装着時間が不足すると歯が予定通りに動かず、治療が長引くことがあります。 |
|
クリニックより |
今回は上下の叢生を矯正したケースです。歯周病や噛み合わせの観点から矯正を希望された患者様です。通報通り診断し、矯正していったものの、骨性癒着なのか、歯の移動が悪くアライナー矯正での移動は困難と判断したため、ワイヤー矯正へと移行し矯正を行っています。うまく動かないトラブルはあったものの、最終的には咬合も安定し、予後も良好です。 |
医療法人啓仁会 栃内歯科医院:https://www.tochinai-dental.com/
〒020-0884 岩手県盛岡市神明町10−35
電話:019-625-1588
バスでお越しの方:
盛岡バスセンター より 徒歩3分
お車でお越しの方
医院前に駐車場7台完備
上記駐車場が満車の場合は、提携駐車場をご利用ください。(無料券をお配りしております。)


