はじめまして。盛岡市 ― 栃内歯科医院 院長の栃内です。
当院のホームページへお越しいただき、ありがとうございます。
私たちは“予防管理特化型”の歯科医院として、成人期から生涯にわたりお口の健康をサポートしています。
むし歯や歯周病のリスクを早期に捉え、定期的なメインテナンスでトラブルを未然に防ぐ――それが当院の基本姿勢です。
いつまでも自分の歯で「食べ・笑い・話す」ためには、治療以上に“予防”こそが価値ある医療。そこで当院では、リスク検査・プロフェッショナルクリーニング・セルフケア支援を通じて、患者さまが日常の中で美しさと健康を育み続けられる仕組みを整えています。
健康は歯科医だけがつくるものではありません。お口の未来を共に育むパートナーとして、予防を楽しみながら続けたい方を心より歓迎いたします。
ぜひ私たちと一緒に、一生涯の美と健康を守り育てていきましょう。







予防歯科
保存治療
むし歯治療
歯周病治療
根管治療
小児歯科
矯正歯科
審美歯科
ホワイトニング
インプラント
入れ歯治療
親知らずの抜歯
自家歯牙移植
治療の流れ
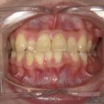
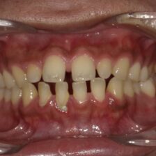
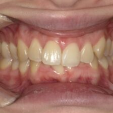
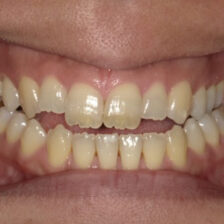
症例集
料金表










