上下のガチャ歯を改善した1症例
|
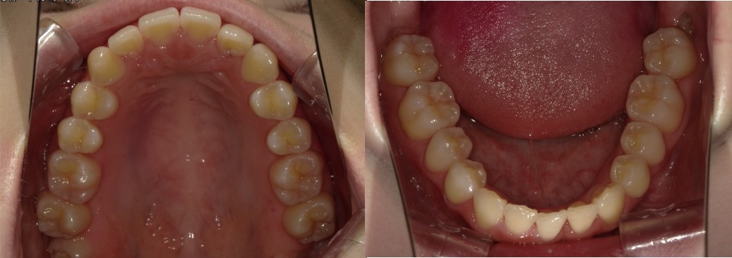
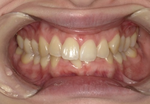
治療前 ![]() |
治療後 ![]() |
|
年齢性別 |
30代 |
|
相談内容 |
上の歯と下の歯が前後しているのが気になる |
|
診断結果 |
骨格 軽度Ⅲ級 |
|
ご提案内容 |
抜歯(下顎前歯) |
|
術後経過/現在の状態 |
叢生の改善、保定を行わず後戻りが起きたため再度矯正し、現在は安定 |
|
治療期間 |
8ヶ月 |
|
治療回数 |
8回 |
|
治療費 |
税込 78万円(検査料・調整料込み) |
|
治療のリスク |
装着時間が不足すると歯が予定通りに動かず、治療が長引くことがあります。 |
|
クリニックより |
今回は顎が小さく抜歯が必要なケースでした。下の小臼歯を抜くのか下の前歯を抜くのかを患者様と話し合いました。 |
医療法人啓仁会 栃内歯科医院:https://www.tochinai-dental.com/
〒020-0884 岩手県盛岡市神明町10−35
電話:019-625-1588
バスでお越しの方:
盛岡バスセンター より 徒歩3分
お車でお越しの方
医院前に駐車場7台完備
上記駐車場が満車の場合は、提携駐車場をご利用ください。(無料券をお配りしております。)


