叢生を改善した1症例
|
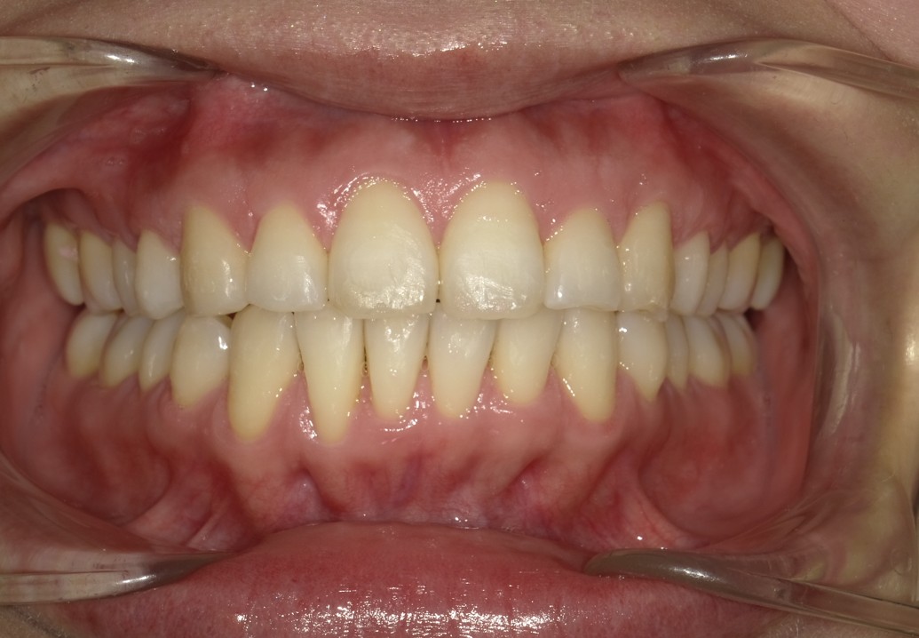
治療前 ![]() |
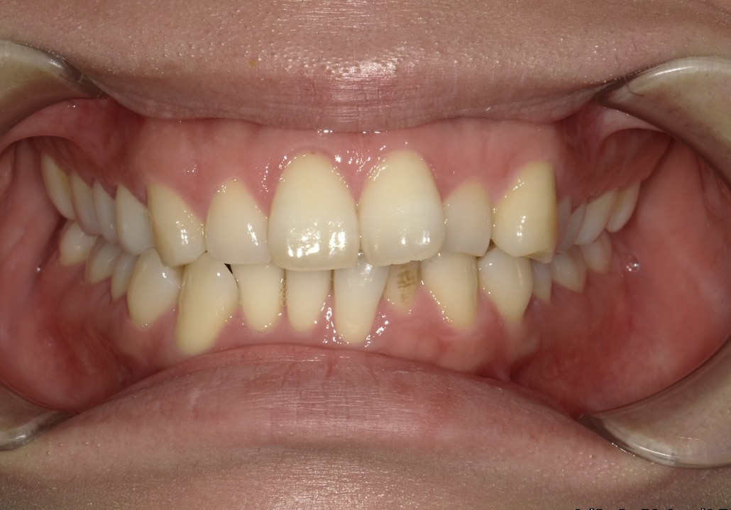
治療後 ![]() |
|
年齢性別 |
40代 |
|
相談内容 |
前歯がずれているのが気になる |
|
診断結果 |
骨格 軽度Ⅱ級 |
|
ご提案内容 |
全顎アライナー矯正(クリアコレクト)+ ワイヤー矯正 |
|
術後経過/現在の状態 |
予後良好 |
|
治療期間 |
24ヶ月 |
|
治療回数 |
24回 |
|
治療費 |
税込78万円(検査料・調整料込み) |
|
治療のリスク |
装着時間が不足すると歯が予定通りに動かず、治療が長引くことがあります。 |
|
クリニックより |
今回はアライナー矯正の初期の方です。初期は交換期間を2週間や3週間で設定し、アライナー矯正のみでの治療を行っていましたが、現在ではワイヤー矯正も併用することで全体の治療期間を短縮する治療法に変更しています。 |
医療法人啓仁会 栃内歯科医院:https://www.tochinai-dental.com/
〒020-0884 岩手県盛岡市神明町10−35
電話:019-625-1588
バスでお越しの方:
盛岡バスセンター より 徒歩3分
お車でお越しの方
医院前に駐車場7台完備
上記駐車場が満車の場合は、提携駐車場をご利用ください。(無料券をお配りしております。)


