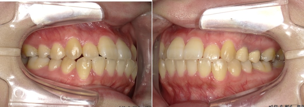
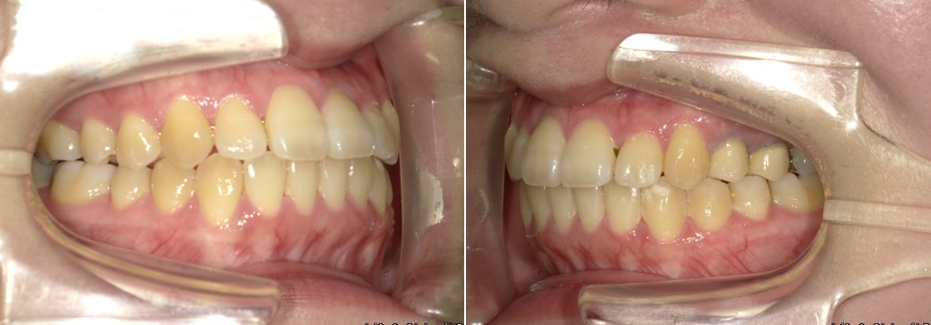
叢生を改善した1症例
|
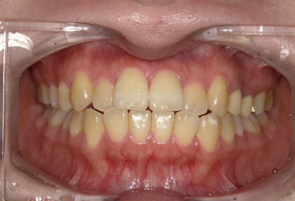
治療前 ![]() |
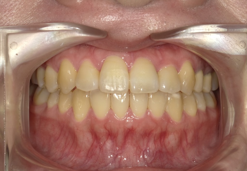
治療後 ![]() |
|
年齢性別 |
30代 |
|
相談内容 |
前歯が前後しているのが気になる |
|
診断結果 |
骨格 軽度Ⅲ級 |
|
ご提案内容 |
全顎アライナー矯正(クリアコレクト)+ ワイヤー矯正 |
|
術後経過/現在の状態 |
予後良好 |
|
治療期間 |
8ヶ月 |
|
治療回数 |
8回 |
|
治療費 |
税込44万円(検査料・調整料込み) |
|
治療のリスク |
装着時間が不足すると歯が予定通りに動かず、治療が長引くことがあります。 |
|
クリニックより |
今回のケースは叢生及び切端咬合をアライナー矯正で行った症例です。 |
医療法人啓仁会 栃内歯科医院:https://www.tochinai-dental.com/
〒020-0884 岩手県盛岡市神明町10−35
電話:019-625-1588
バスでお越しの方:
盛岡バスセンター より 徒歩3分
お車でお越しの方
医院前に駐車場7台完備
上記駐車場が満車の場合は、提携駐車場をご利用ください。(無料券をお配りしております。)


